Dear MRTrix3 community,
We did a connectome analysis with some rather old clinical data (b=700, 32 directions). I did FOD-based probability tractography with ACT, but got quite strong push back from reviewers and other DTI people we talked to, that FOD-based tractography cannot be applied to a sequence like this.
I searched and went through some discussions in this forum, and my impression is that probabilistic tratography is always the preferred method (?) and I couldn’t find much information about how to deterministic in MRTrix3. Specifically, I have a few questions:
- I tried the SDstream algorithm. It seemed to work okay, but I wonder, since it’s still FOD-based, would it have the same issue that FOD is not suitable for this DTI sequence, even though it’s deterministic.
- I also tried sh2peaks from Just iFOD1 and iFOD2 works, FACT not - #2 by rsmith , and then fed the results to tckgen with FACT algorithm. But from what I read, it seemed to be very similar to what SDStream does, so the same issue with FOD?
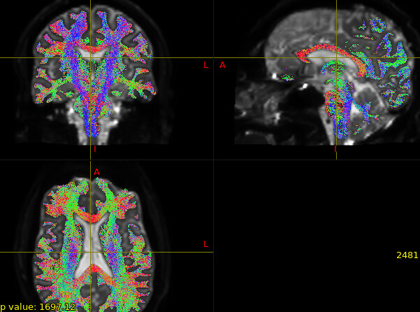
- I tried running tckgen with FACT but it generated non-sensible results (see below). I doubt that it’s about the parameters since the result is just purely noise. The input image was the same DWI image I used for input for dwi2response and dwi2fod, so I can’t think of what went wrong. Any ideas?
tckgen -act 5tt_T1_bet.mif -seed_gmwmi gmwmSeed_coreg.mif -algorithm FACT -maxlength 250 -select 1000000 DWI.mif OUTPUT_1M.tck
tckedit OUTPUT_1M.tck -number 200k OUTPUT_2K.tck
- Back to FOD-based tractography, actually the results look generally okay to my eyes (please see figure in the next comment because I can only have one image in the post) that’s why I hadn’t been worried. But yes when I examine the streamlines connecting specific pairs of ROIs, there are some errors, and seems some ROI pairs are more prone to errors. My question is, I think there is going to be some degree of errors in tractography regardless, no? And if so, to what extent it would consider acceptable? Since it’s not possible to inspect and sift through every streamline, or one should just use the method that is supposed to be more appropriate (so FOD is a no-no in our case)?
This is my first DTI project and I admitted that I inherited the pipeline and didn’t give it much thought. Would appreciate your help and suggestions very much!

