Dear MRtrix Community and Experts,
I am running a structural connectome pipeline (CSD/ACT/SIFT2) on HCP-preprocessed data (1.5mm T1w) and am facing persistent, critical issues with the non-linear registration quality when mapping the DKT308 atlas to the individual subject space.
My goal is to obtain a highly accurate parcellation (DKT308_parc.mif) that perfectly aligns with the gray matter (GM) surface, as required for ACT.
1. Pipeline Details
-
DWI/T1 Data: HCP-style preprocessed, T1w resolution is 1.5mm.
-
Target Atlas: DKT308 (a volume atlas, correctly in MNI space).
-
MRtrix Core:
5ttgen fsl,dwi2fod msmt_csd,tckgen,tcksift2,tck2connectome. -
Registration Tools: FSL’s
flirtandfnirt.
2. The Critical Problem (Diagnosis: Over-Regularisation)
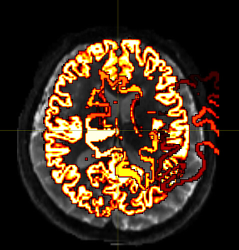
Despite extensive tuning, the final transformed atlas (DKT308_parc.mif) consistently exhibits significant bleeding (invasion) into the white matter (WM) in high-curvature sulcal regions.
I diagnosed this as over-regularization in the FNIRT process (the algorithm prioritizes smoothness over anatomical accuracy).
3. Steps Taken to Resolve (All Failed to Fix)
I have attempted the highest precision settings possible within the volume-based FNIRT framework:
-
Low Regularization: Modified the
T1_2_MNI152_2mm.cnfto drastically lower the \\lambda schedule (e.g., final values from 30 to 5) and increased iterations (e.g.,miterto 20). Result: Bleeding was only marginally reduced. -
MNI Target Resolution: Tested mapping the 1.5mm T1 to both 2mm MNI and 1mm MNI templates. Result: Precision remained poor due to inherent volume-warping limitations.
-
Registration Input: Used the full (un-brain-extracted) T1w image for FLIRT/FNIRT input (
--in) while using the brain mask (--inmask) for constraint. Result: Improved initial alignment, but did not fix GM/WM boundary bleeding
Visual Evidence
(Please insert the image showing the atlas bleeding into the white matter here)
5. Request for Expert Advice
Given that volume-based FNIRT seems inadequate for this high-precision task, I am considering moving to a surface-based approach.
My questions for the community are:
-
Tool Recommendation: What is the most robust and recommended non-FSL method to generate a high-quality, non-linear warp field that accurately maps a volume atlas (like DKT) onto the individual’s GM/WM interface for ACT? (e.g., Is ANTs/SyN a better volume-based solution, or is the effort better spent elsewhere?)
-
Surface Solution: Since HCP data is usually processed with FreeSurfer, is the consensus that I must abandon volume-based registration for the atlas and instead use
mri_surf2surf(FreeSurfer) combined withmri_aparc2asegto create the final, accurate volume atlas (DKT308_parc.mif)?
Thank you in advance for any insights on how to proceed with the highest quality registration for ACT.
Best regards,
RuiWang




