Mrregister tips?

Hi, I am trying to use mrregister to align a B0 image to a T2w image. They both are of high quality, and in general aligning them works easy, and reliably no matter what option I choose when using ITKSnap or SPM.

So I feel mrregister is really behaving a bit like a diva. In any case I am determined to make it work using mrregister. I have good masks for both, too.
I am using the following command:

mrregister sub-03_B0_templ.mif sub-03_T2w_ACPC.nii.gz -type affine_nonlinear -nl_warp W_s2t.mif W_t2s.mif -mask1 sub-03_templateMask.nii.gz -mask2 T2mask.nii.gz
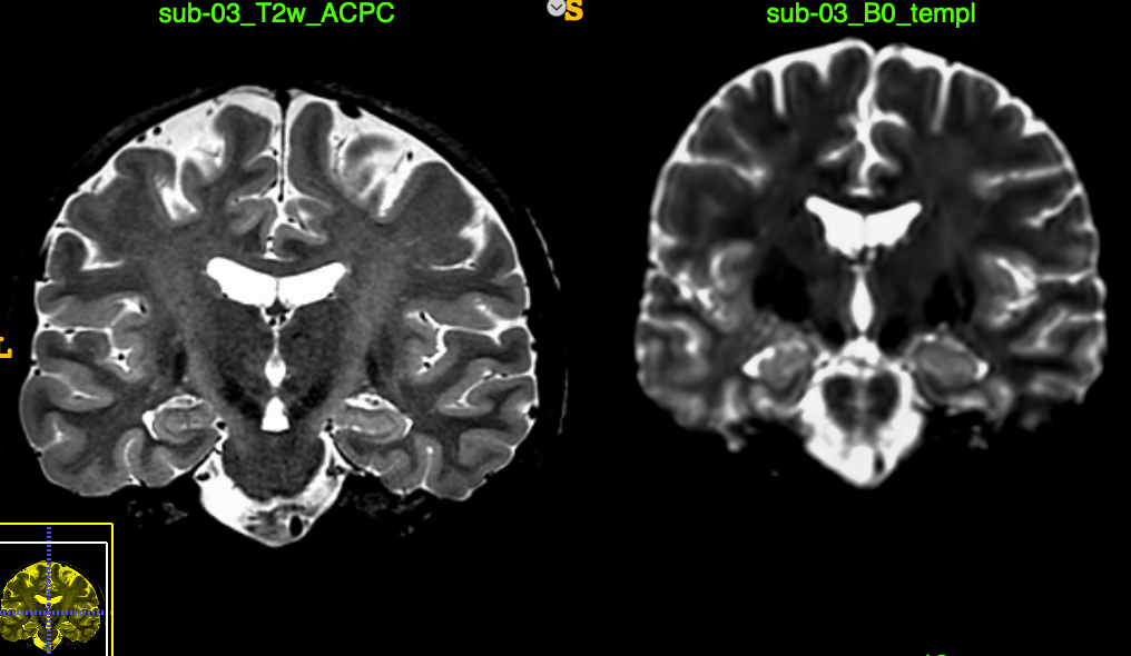
The output is completely out of wack.

I am really looking for ideas here.
I could provide it an initial tranform that is very good, but I am not sure how I would provide mrregister with a starting transform.
M.

Hi Mark,

If there is a corresponding T1 image, and if it is not strictly necessary to use mrregister, it might be worth giving epi_reg a go (FLIRT/UserGuide - FslWiki).

Here’s what might work…

  • register FLAIR to T1 (using flirt), and apply the transformation to get the FLAIR aligned with the T1 (let’s call this output image FLAIR_regT1)
  • register the T1 to the DWI mean B0 (using epi_reg), then apply the transformation to the T1 and FLAIR_regT1. This should produce a FLAIR and T1 image that align with the DWI mean B0

Hope this helps!

Cheers,
Arkiev

Well, I was hoping to use mrregister, because then I can easily combine transforms into a single transform.
I used id files now to combine the transforms and it worked.
I am not totally happy because repeated re-slicing results in blurring and I want to minimize this as much as possible. And while the use of the ID-files allowed me to only apply a single transform to the data, I suspect applying repeated transforms to an ID-file will blur the ID file and hence the data, too.
I am VERY particular about the utmost best data quality
In any case I succeeded with ANTs and the alignment is very good.
T2toDWI
And yes one of these images is a B0 from a dataset with 104 directions 32@1000 and 64@2500

1 Like